Casos Clínicos Resolvidos
Temos larga experiência em casos clínicos difíceis
Veja aqui alguns casos clínicos resolvidos que podem ser semelhante ao seu.
Temos uma larga experiência em reabilitações orais complexas e em situações de difícil resolução.

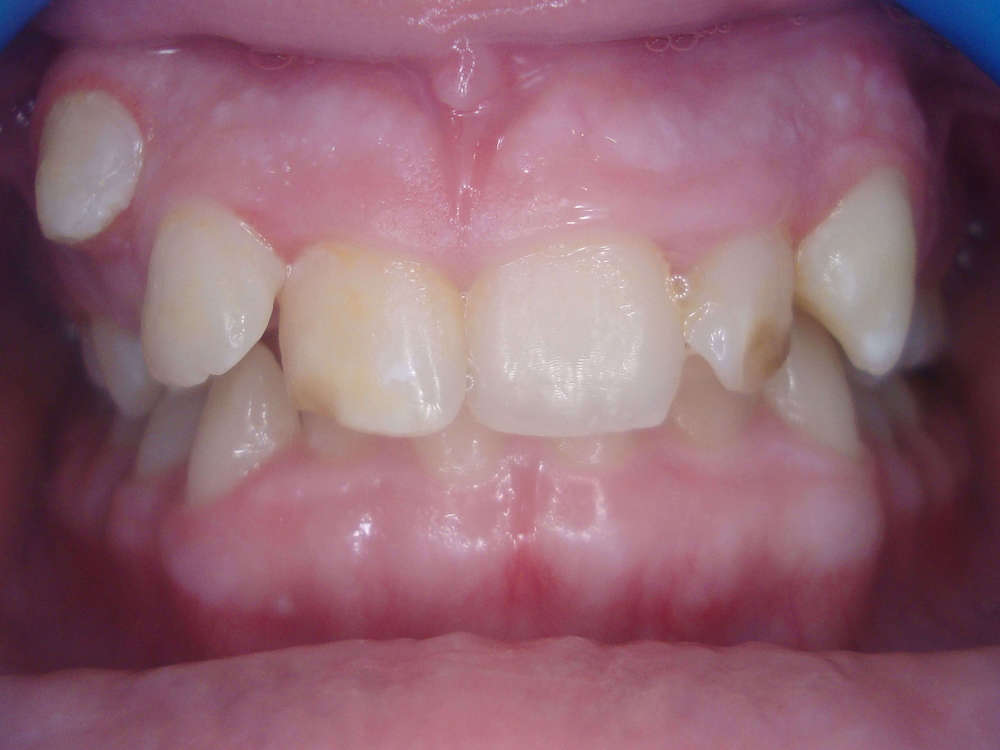
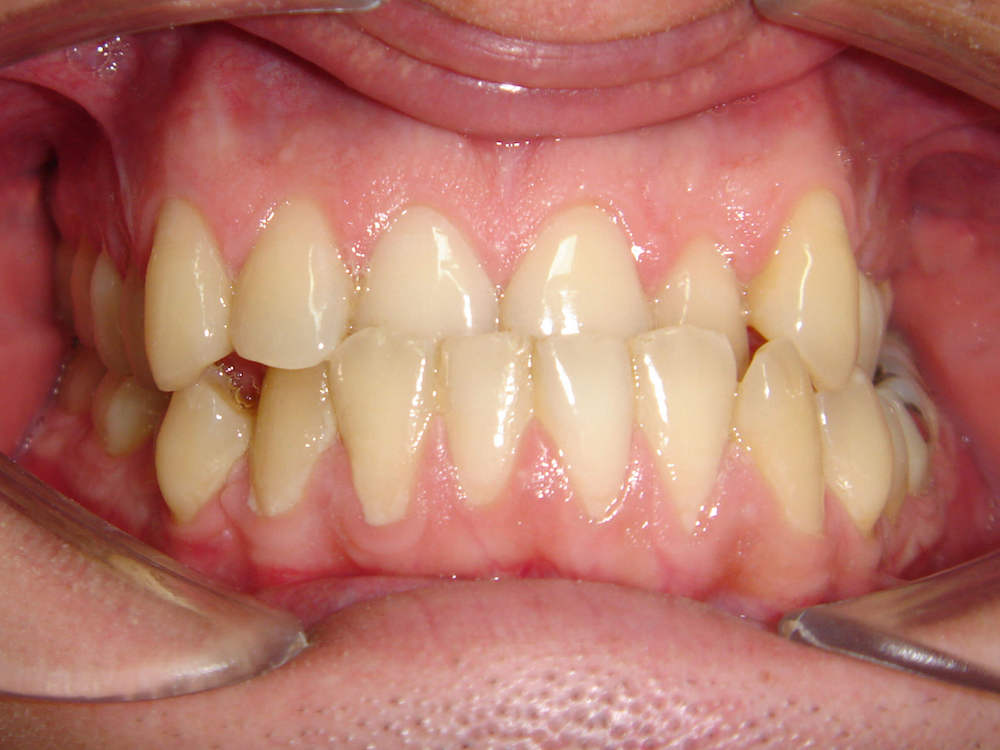
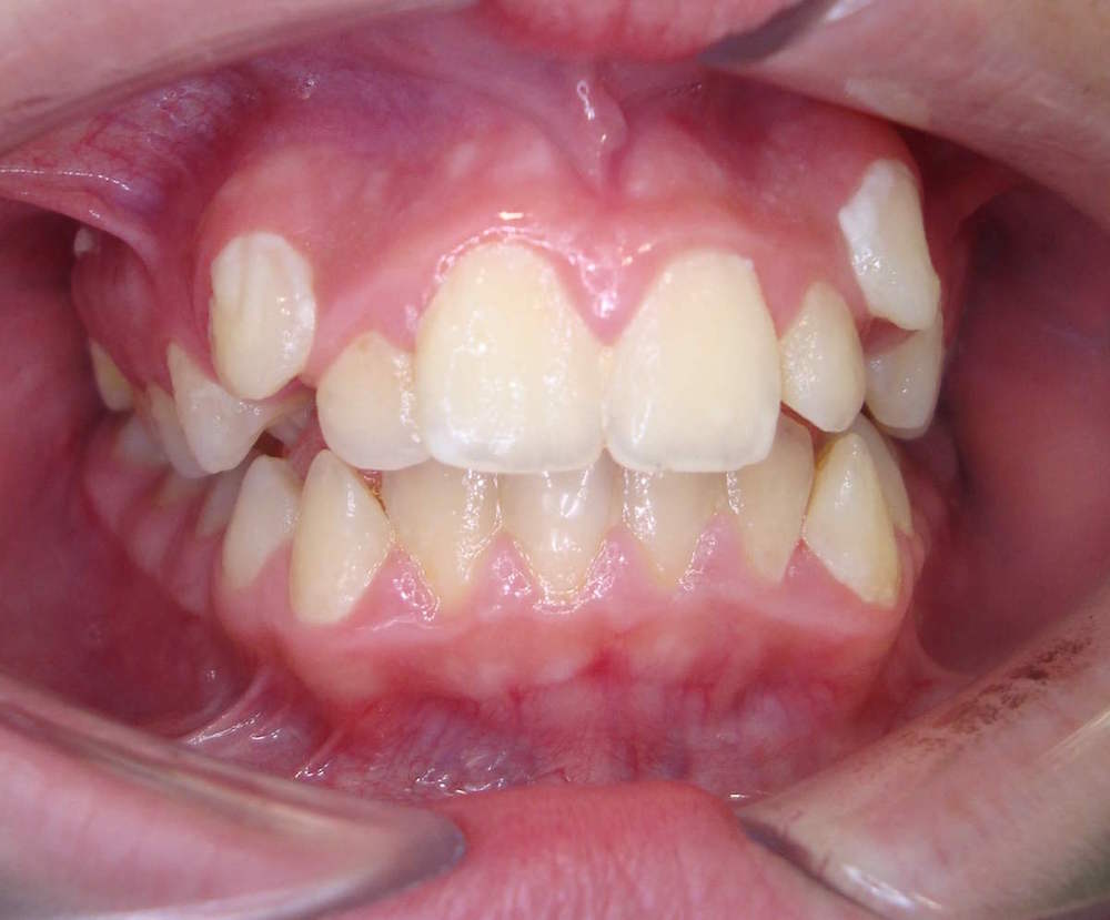
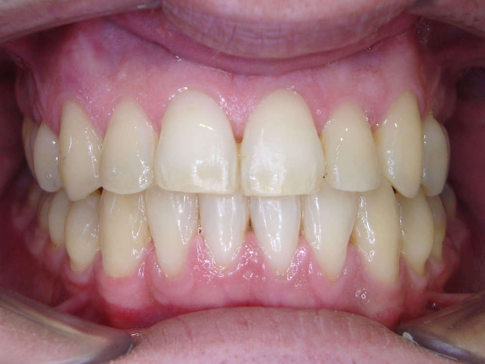
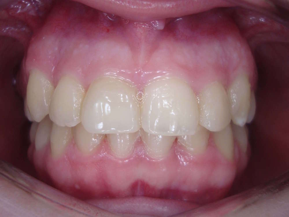
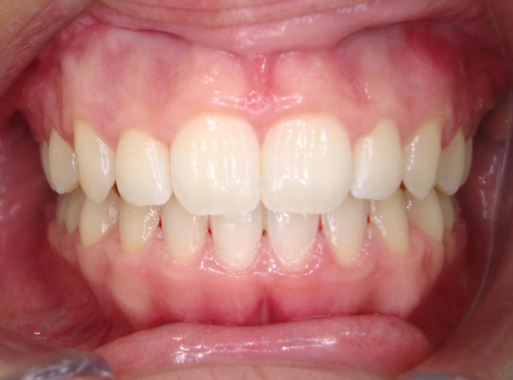
Ortodontia
Correcção com aparelho ortodôntio convencional.
Ortodontia
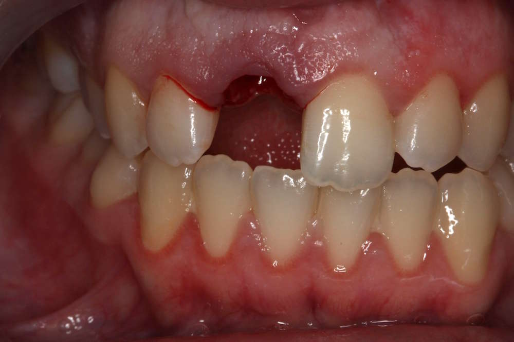
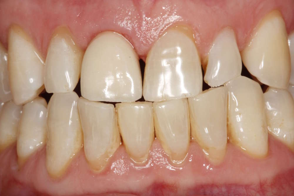
Implante Individual
Substituição de dente perdido através de um implante dentário.Implante Individual
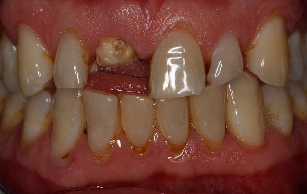
Implante individual
Substituição de dente perdido por trauma através de um implante dentário.Implante individual
